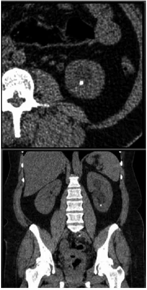
Mulher de 48 anos apresenta quadro de dor recorrente em região lombar à esquerda. Realizado tomografia de abdome total sem contraste (imagem demonstrada), que evidenciou cálculo em cálice inferior de 0,7 cm (400 UH). A análise da via de saída do cálice inferior demonstrou: ângulo infundíbulo-pielico de 95 graus e infundíbulo com comprimento de 1,0 cm.

Qual a melhor proposta para a paciente?
Provas
Questão presente nas seguintes provas