Homem, 65 anos, hipertenso e diabético, vai à emergência por dispneia súbita e dor
torácica intensa. Seus sinais vitais são: PA 170/110 mmHg, FC 92 bpm, FR 26 mpm, spO2 92% em
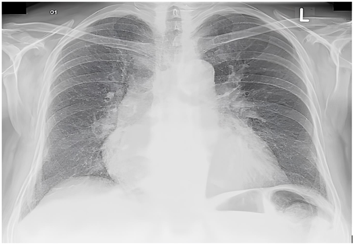
ar ambiente. Ao eletrocardiograma e à radiografia de tórax, tem-se os seguintes achados:
Inicialmente, o paciente é colocado em máscara de Hudson a 10 L/min com infusão de nitroglicerina endovenosa, apresentando melhora dos sintomas. Na sequência, o paciente apresenta PA 76/40 mmHg e FC de 120 bpm. Além de suspender a nitroglicerina, qual é a próxima conduta mais adequada para esse paciente?
Inicialmente, o paciente é colocado em máscara de Hudson a 10 L/min com infusão de nitroglicerina endovenosa, apresentando melhora dos sintomas. Na sequência, o paciente apresenta PA 76/40 mmHg e FC de 120 bpm. Além de suspender a nitroglicerina, qual é a próxima conduta mais adequada para esse paciente?