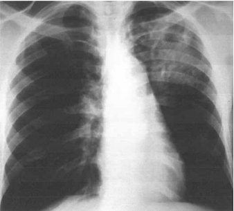
Homem de 27 anos de idade, sem patologias prévias, apresenta quadro de febre intermitente, anorexia, perda de 8 kg no período (12% do peso) e tosse há 2 meses. Nega uso de medicamentos, viagem recente, tabagismo, etilismo ou ingestão de drogas ilícitas. Exame físico: hemodinamicamente estável; FR: 24 ipm, saturação arterial de O2 : 87% e T: 38,1 ºC. Teste para o vírus HIV: negativo. A radiografia de tórax realizada é mostrada a seguir.

A principal hipótese diagnóstica é