Magna Concursos
2952397 Ano: 2023
Disciplina: Medicina
Banca: UFG
Orgão: Pref. Cidade Ocidental-GO
Provas:
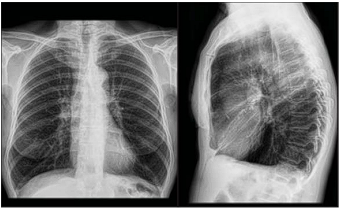
Paciente do sexo feminino, 64 anos, encaminhada para o ambulatório de clínica médica com história de tosse produtiva matinal diária com expectoração em pequena quantidade e de coloração mucóide há cerca de 3 anos. Refere ainda dispnéia progressiva. Observou que nos últimos meses, quando vai efetuar compras na feira (há menos de 100 metros de seu domicílio), precisa parar várias vezes por falta de ar. Ex tabagista (dos 15 aos 60 anos de idade), com uma média de 30 cigarros por dia. Além disso, residiu em casa com fogão de lenha até os 22 anos de idade. Nega internações ou uso de antibióticos. Ao exame físico, paciente responsiva, verbalizando.
Frequência respiratória de 16 incursões por minuto, tórax com aumento do diâmetro antero-posterior, expansibilidade diminuída e murmúrio vesicular diminuído difusamente. Ritmo cardíaco regular, bulhas hipofonéticas, frequência cardíaca de 89 batimentos por minuto. Pressão arterial de 120x80mmhg. Peso 50kg. Altura 1,65m. Trouxe exames realizados há aproximadamente 20 dias (radiografia de tórax abaixo). Espirometria com relação volume expiratório forçado no primeiro segundo (VEF1) / capacidade vital forçada (CVF) abaixo de 0,7 e ausência de resposta significativa a broncodilatador. VEF1 da paciente foi 55% do valor predito.
Enunciado 2952397-1
Qual é a classificação de gravidade GOLD (global initiative for chronic obstructive lung disease) da doença pulmonar obstrutiva crônica apresentada pela paciente?
 

Provas

Questão presente nas seguintes provas

Médico

50 Questões