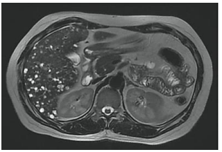
Analise a imagem de ressonância magnética ponderada em T2 e assinale o diagnóstico mais provável:

Provas
Questão presente nas seguintes provas
Médico - Radiologia e Diagnóstico por Imagem
100 Questões
Analise a imagem de ressonância magnética ponderada em T2 e assinale o diagnóstico mais provável:
