Magna Concursos
3556439 Ano: 2024
Disciplina: Biologia
Banca: Consulplan
Orgão: SEED-PR
Provas:

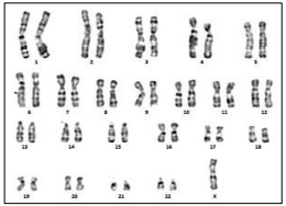
A figura apresenta um cariótipo com banda G representando uma constituição cromossômica:


Enunciado 4197968-1


Diante do exposto, assinale a afirmativa correta.

 

Provas

Questão presente nas seguintes provas

Professor - Biologia

40 Questões