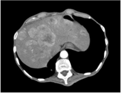
Paciente masculino, 64 anos, veio encaminhado para avaliação de quadro de fraqueza, perda de peso (23Kgs nos últimos seis meses) e evacuações diarreicas cerca de 20x ao dia, sem muco, sangue ou pus. Em uso domiciliar de glicazida 60mg ao dia devido a diagnóstico recente de diabetes. Ao exame físico emagrecido, com índice de massa corpórea de 15 Kg/m² , com placas orais sugestivas de monilíase, erosões crostosas e placas amarronzadas no dorso e membros, com fígado endurecido, palpável a 4 cm do rebordo costal direito. Exames laboratoriais evidenciaram anemia normocítica e normocromica, discreta plaquetose, hipoalbuminemia, com sorologias para hepatites virais e HIV negativas. Exame de fezes com gap osmolar fecal de 5,02 Osm / kg H2O, ausência de hemácias, leucócitos, leveduras, ácidos graxos, helmintos ou protozoários. Tomografia contrastada de abdome mostrou lesão sólida com captação de contraste de 2,4cm em corpo / cauda de pâncreas e múltiplas lesões nodulares hepáticas, estas evidenciadas na figura a seguir:

Com relação a este caso é correto afirmar: