Uma paciente de 55 anos de idade, hipertensa, diabética e tabagista, foi ao pronto-socorro com dispneia, edema de
membros inferiores, estase jugular e estertores bibasais. O quadro iniciou-se junto com disúria, polaciúria e dor lombar, há
três dias. Na admissão: FC de 122 bpm; PA de 83 x 44 mmHg; FR de 24 irpm; sat. a 89 % em ar ambiente; TEC de 4 segundos;
temperatura 38,7 °C; e Giordano positivo à direita.
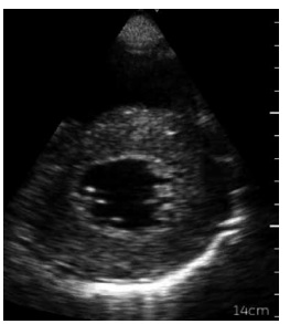
Considere-se a imagem a seguir.

Assinale a alternativa que apresenta a janela ecocardiográfica à qual a imagem corresponde.
Provas
Questão presente nas seguintes provas
Residência em Medicina - Endoscopia/Nutrologia
50 Questões