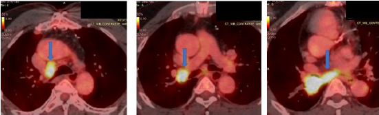
Idoso de 62 anos, com antecedentes de neoplasia de orofaringe (carcinoma de células escamosas), em 2015, tratado com radioterapia, realizou transplante hepático, em 2019, por cirrose hepática por vírus C e vem em acompanhamento de doença coronariana. Relata ser ex-tabagista há 20 anos, carga tabágica 20 maços/ano. A tomografia computadorizada de tórax demonstrou imagem compatível com lesão expansiva, medindo 38x31mm, no lobo inferior direito (LID), com obliteração do brônquio lobar correspondente. Realizou videobroncoscopia que evidenciou lesão exofítica, ocluindo o brônquio do LID. A biopsia da lesão confirmou o diagnóstico de carcinoma de células escamosas. Foi realizado PET-CT para estadiamento da neoplasia (imagem abaixo), com formação expansiva no LID com SUV máximo de 13,6 e linfonodos e linfonodomegalias nas cadeias paratraqueal inferior direita, paratraqueal inferior esquerda, hilo pulmonar direito e subcarinal, com SUV máximo de 9,6 no hilo direito, que mede 22x19mm.
A sequência de punções dos linfonodos mediastinais e hilares a serem realizadas durante o EBUS-TBNA (punção aspirativa por agulha guiada por ultrassom endobrônquico) deve ser linfonodos contralaterais à esquerda e posteriormente:
A sequência de punções dos linfonodos mediastinais e hilares a serem realizadas durante o EBUS-TBNA (punção aspirativa por agulha guiada por ultrassom endobrônquico) deve ser linfonodos contralaterais à esquerda e posteriormente: