Magna Concursos
2125901 Ano: 2021
Disciplina: Medicina
Banca: AOCP
Orgão: Pref. João Pessoa-PB
Provas:
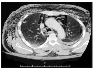
Homem de 18 anos, vítima de colisão moto x auto há 2 horas, refere apenas muita dor torácica para respirar, estando estável hemodinamicamente. Exame físico direcionado: enfisema de tecido celular subcutâneo principalmente em região anterior e lateral do tórax, expansibilidade simétrica bilateralmente, murmúrio vesicular presente bilateralmente, sem alteração à percussão. A TC de tórax é apresentada a seguir:

Enunciado 2125901-1
Assinale a alternativa correta em relação ao diagnóstico e a conduta adequada nesse caso.
 

Provas

Questão presente nas seguintes provas

Médico - Cirurgia Geral

60 Questões