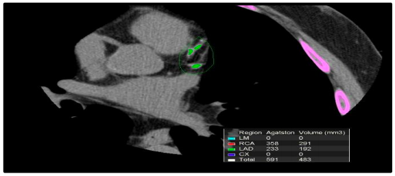
Mulher de 47 anos, diabética, assintomática, comparece à consulta trazendo o escore de
cálcio mostrado abaixo.

Resultado com escore de cálcio- 591 Agatston, no percentil 90. De acordo com a Diretriz Brasileira de Dislipidemia de 2017,

Resultado com escore de cálcio- 591 Agatston, no percentil 90. De acordo com a Diretriz Brasileira de Dislipidemia de 2017,