Magna Concursos
Questões
Planos
Entrar
Entrar
Criar Conta
Respondida
1098457
Ano:
2012
Disciplina:
Radiologia
Banca:
UFG
Orgão:
UFG
Provas:
Técnico(a) em Radiologia
Provas
×
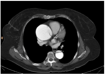
Analise a imagem a seguir.
A análise da imagem de tomografia computadorizada acima sugere que
A
a aorta não pode ser visualizada devido à extensão da massa pulmonar ocupando a janela do mediastino.
B
a imagem no corte coronal não mostrou a artéria pulmonar.
C
a fase arterial foi incompleta devido à falta de opacificação de parte da aorta ascendente.
D
o meio de contraste opacificou a luz verdadeira da dissecção aórtica.
Resolver
Comentários
0
×
Cadernos
×
Flashcards
×
Estatísticas
×
Reportar um erro
×
Provas
Questão presente nas seguintes provas
Técnico(a) em Radiologia
50 Questões
Resolver Prova
Publicar
Responder
Qual o problema da questão?
Selecione uma opção
Questão Desatualizada
Questão Repetida
Gabarito Errado
Outros Motivos
Mensagem
Enviar
Acessar
Criar Conta
Acesse sua Conta
Google
Facebook
Esqueci minha senha
Acessar
Ainda não tem conta?
Crie uma
!
Crie uma Conta
Criar Conta
Olá, para continuar, precisamos criar uma conta!
É
rápido
e
grátis
.
Google
Facebook
Concordo com os
Termos de Uso
Criar
Já tem uma conta?
Acesse aqui