Magna Concursos
2141418 Ano: 2021
Disciplina: Medicina
Banca: FGV
Orgão: PM-AM

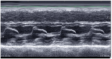
Assinale a classificação de Carpentier para a imagem abaixo.

Enunciado 2141418-1

 

Provas

Questão presente nas seguintes provas

Oficial Médico - Cardiologia/Ecocardiografia

80 Questões