Magna Concursos
3609680 Ano: 2024
Disciplina: Biologia
Banca: VUNESP
Orgão: EsFCEx

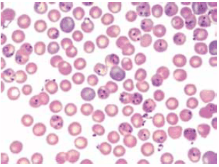
A fotografia mostra eritrócitos, do sangue de um roedor, infectados pelo parasita Plasmodium chabaudi (pontos roxos internos).

Enunciado 3609680-1

(www.publico.pt)

Durante a ação dos plasmódios nos eritrócitos ocorre

 

Provas

Questão presente nas seguintes provas

CFO-QC - Magistério de Biologia

60 Questões