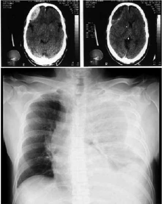
Homem de 48 anos deu entrada na sala de emergência (cerca de 30 minutos após a colisão do ônibus escolar que dirigia) com alteração do nível de consciência (ECG = 10), em hipotensão severa, sem sangramento externo evidente. Após o atendimento inicial, realizado a contento pelo plantonista, obtêm-se os achados tomográficos e radiográficos abaixo demonstrados.

A conduta para com o paciente, sequencialmente, deverá ser: