Um homem de 30 anos, anteriormente hígido, apresenta febre, tosse e dor ventilatório-dependente no hemitórax direito há 1 dia. Refere ter tomado cefalexina por 1 semana há cerca de 45 dias devido a ferimento por trauma no pé.
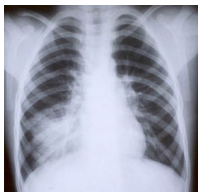
A radiografia de tórax mostra:

O médico decide por tratamento ambulatorial. Dentre as opções terapêuticas abaixo, a PIOR opção é