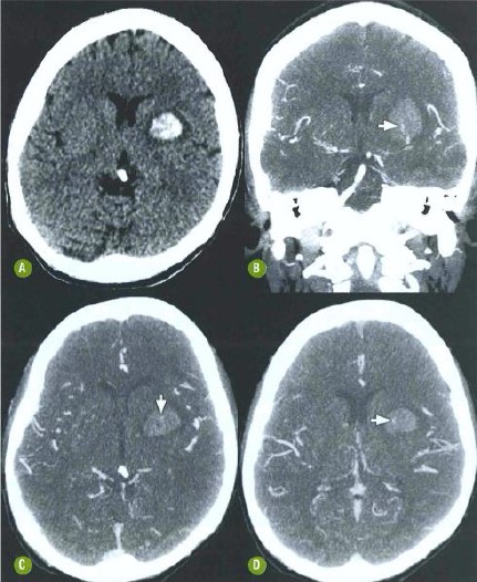
Paciente do sexo masculino, 57 anos, hipertenso e diabético, chega ao PA relatando cefaleia intensa, de início súbito, por vezes associada à tontura. Ao exame físico, nota-se pico hipertensivo.
Com base nas imagens tomográficas a seguir, é correto afirmar que
