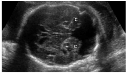
O médico ultrassonografista realizou exame ecográfico obstétrico em uma gestante de 36 semanas e 5 dias, e deparou-se com a seguinte imagem:
Hipoplasia ou agenesia do vérmis cerebelar e dilatação do quarto ventrículo, com formação cística na fossa posterior.
Fonte: CHARLES, H. Rodeck; WHITTLE, Martin J. Medicina fetal fundamentos e prática clínica. 1. ed. Rio de Janeiro: Revinter, 2005. p. 619-621.
Essa imagem permite afirmar que o feto apresenta
Hipoplasia ou agenesia do vérmis cerebelar e dilatação do quarto ventrículo, com formação cística na fossa posterior. Fonte: CHARLES, H. Rodeck; WHITTLE, Martin J. Medicina fetal fundamentos e prática clínica. 1. ed. Rio de Janeiro: Revinter, 2005. p. 619-621.
Essa imagem permite afirmar que o feto apresenta
Provas
Questão presente nas seguintes provas
Médico - Diagnóstico por Imagem/Ultrassonografia
30 Questões