Magna Concursos
Questões
Planos
Entrar
Entrar
Criar Conta
Respondida
2521979
Ano:
2016
Disciplina:
Medicina
Banca:
UFCG
Orgão:
UFCG
Provas:
Médico - Ultrassonografia
Provas
×
Angiologia
Diagnóstico por Imagem
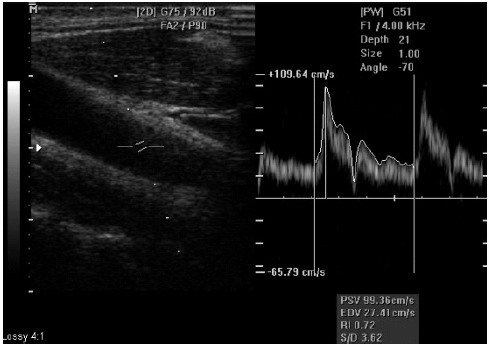
Avalie a imagem abaixo e marque a opção correta.
A
Corresponde a Doppler espectral com valores do pico de velocidade sistólica adequado para o sistema arterial do membro inferior
B
Para melhor análise deve-se apresentar também o Doppler colorido
C
O valor do pico de velocidade sistólica não deve ser considerado nesta avaliação
D
Há fenômenos de reflexão e a imagem deve ser refeita
E
Não há subsídios para a resposta porque o sistema vascular avaliado não foi informado
Resolver
Comentários
0
×
Cadernos
×
Flashcards
×
Estatísticas
×
Reportar um erro
×
Provas
Questão presente nas seguintes provas
Médico - Ultrassonografia
50 Questões
Resolver Prova
Publicar
Responder
Qual o problema da questão?
Selecione uma opção
Questão Desatualizada
Questão Repetida
Gabarito Errado
Outros Motivos
Mensagem
Enviar
Acessar
Criar Conta
Acesse sua Conta
Google
Facebook
Esqueci minha senha
Acessar
Ainda não tem conta?
Crie uma
!
Crie uma Conta
Criar Conta
Olá, para continuar, precisamos criar uma conta!
É
rápido
e
grátis
.
Google
Facebook
Concordo com os
Termos de Uso
Criar
Já tem uma conta?
Acesse aqui