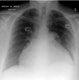
Mulher de 50 anos chega à Emergência com queixa de dispneia e desconforto torácico. Apresenta história de dor torácica intensa, manejada em hospital do interior como infarto do miocárdio sem estratificação invasiva, há uma semana. A paciente apresenta PA 90/40mmHg, FC 120mmHg, turgência venosa central e mínimos estertores crepitantes em bases; está fria e com sensório deprimido. RX de tórax (Fig. 1) e ECG (Fig. 2) da chegada estão representados abaixo.
Fig. 1

Fig. 2

Frente a esse quadro, qual seria a melhor conduta?