Magna Concursos
665193 Ano: 2016
Disciplina: Radiologia
Banca: AOCP
Orgão: EBSERH

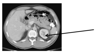
Qual é o ponto assinalado na imagem de tomografia a seguir?


enunciado 665193-1

 

Provas

Questão presente nas seguintes provas

Técnico de Radiologia - Radioterapia

50 Questões