Paciente de 47 anos, homem, sem acompanhamento médico
regular, apresenta há 1 mês e meio edema de membros inferiores
3+/4+, dispneia progressiva aos esforços, no momento aos
mínimos esforços. Há 2 semanas apresenta “tontura” ao se
levantar rapidamente da cama. Hoje, refere palpitação e procura
serviço de pronto atendimento.
Ao Exame físico: ritmo cardíaco irregular, com FC: 115 bpm; PA: 106 x 68 mmHg; FR 22 irpm; SpO2: 98%. Presença de turgência jugular patológica, estertores crepitantes em bases pulmonares. Ao exame do abdome: fígado palpável a 4,0 cm do rebordo costal e ascite.
Eletrocardiograma: fibrilação atrial, complexo QRS de baixa voltagem.
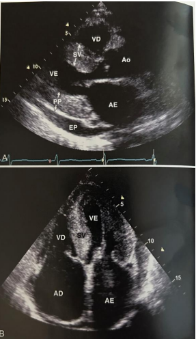
Ecocardiograma transtorácico com as seguintes imagens:

Braunwald – Tratado de Doenças Cardiovasculares – 9ª Ed. Cap. 15. Figura 15-78.
Baseado no caso clínico descrito, o diagnóstico mais provável é
Ao Exame físico: ritmo cardíaco irregular, com FC: 115 bpm; PA: 106 x 68 mmHg; FR 22 irpm; SpO2: 98%. Presença de turgência jugular patológica, estertores crepitantes em bases pulmonares. Ao exame do abdome: fígado palpável a 4,0 cm do rebordo costal e ascite.
Eletrocardiograma: fibrilação atrial, complexo QRS de baixa voltagem.
Ecocardiograma transtorácico com as seguintes imagens:

Braunwald – Tratado de Doenças Cardiovasculares – 9ª Ed. Cap. 15. Figura 15-78.
Baseado no caso clínico descrito, o diagnóstico mais provável é