Caso clínico 3 para as questões 27 e 28.
Criança feminina, 04 anos, é encaminhada de Unidade de Pronto Atendimento (UPA) de Olinda-PE com história de cefaleia acompanhada de vômitos, inapetência e sonolência há 03 dias, sendo solicitado parecer da neurocirurgia. Ao exame: ECG Pediátrica de 13 (Resposta Ocular = 3 + Resposta Verbal = 4 + Resposta Motora = 6), isocórica e RFM lentificado bilateralmente, mobilizando todos os membros e reflexos presentes e simétricos.
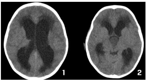
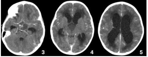
Seguem, abaixo, as imagens de TC de crânio sem e com contraste da paciente, com índice de Evans de 0,41.


Como se calcula o índice de Evans que foi de 0,41 e o que se fazer pela urgência nesse caso, respectivamente?