Magna Concursos
3250636 Ano: 2024
Disciplina: Biologia
Banca: AOCP
Orgão: UFTM

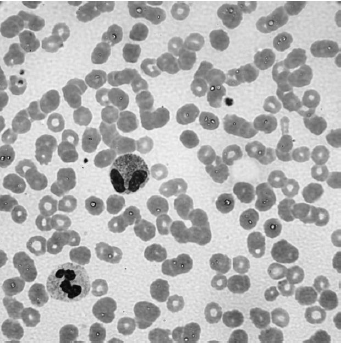
A imagem a seguir mostra uma lâmina de tecido sanguíneo. A respeito do material observado, assinale a alternativa correta.

Enunciado 3567079-1

 

Provas

Questão presente nas seguintes provas

Técnico de Laboratório - Biologia

50 Questões