Magna Concursos
Questões
Planos
Entrar
Entrar
Criar Conta
Respondida
2529282
Ano:
2016
Disciplina:
Medicina
Banca:
UFCG
Orgão:
UFCG
Provas:
Médico - Ultrassonografia
Provas
×
Medicina Nuclear
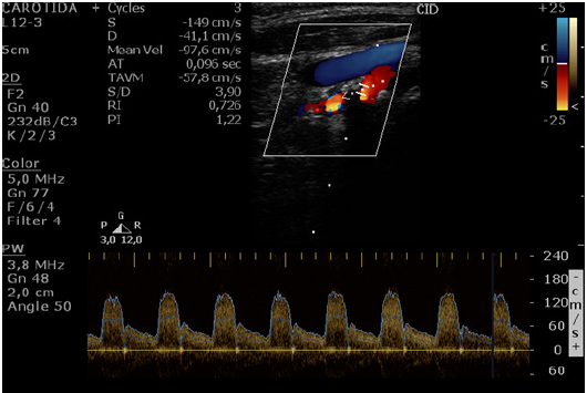
A imagem abaixo refere-se a Doppler de carótida interna
Considerando o Consenso da Sociedade de Radiologia (Society of Radiologist in Ultrasound Consensus Conference - Grant et al., 2003) o diagnóstico mais provável é de
A
Estenose carotídea de 20% a 49%
B
Estenose carotídea de 51% a 60%
C
Estenose carotídea ≥ 70%
D
Estenose carotídea de 50% a 69%
E
Estenose carotídea de 60% a 79%
Resolver
Comentários
0
×
Cadernos
×
Flashcards
×
Estatísticas
×
Reportar um erro
×
Provas
Questão presente nas seguintes provas
Médico - Ultrassonografia
50 Questões
Resolver Prova
Publicar
Responder
Qual o problema da questão?
Selecione uma opção
Questão Desatualizada
Questão Repetida
Gabarito Errado
Outros Motivos
Mensagem
Enviar
Acessar
Criar Conta
Acesse sua Conta
Google
Facebook
Esqueci minha senha
Acessar
Ainda não tem conta?
Crie uma
!
Crie uma Conta
Criar Conta
Olá, para continuar, precisamos criar uma conta!
É
rápido
e
grátis
.
Google
Facebook
Concordo com os
Termos de Uso
Criar
Já tem uma conta?
Acesse aqui