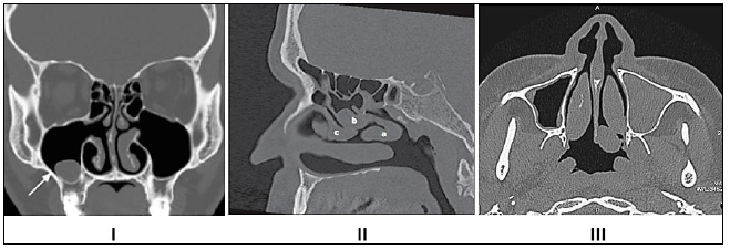
O advento de novas tecnologias aplicadas ao diagnóstico por imagem promove laudos com significativa acurácia e
precocidade. O mesmo pode se dizer para a terapêutica. No eventual acometimento de alguma patologia, a detecção
antecipada diminui significativamente o risco de morte. O conhecimento anatômico dos profissionais das técnicas
radiológicas é extremamente importante para materializar os preceitos anteriores. As imagens tomográficas
relacionadas a seguir apresentam-se em quais planos de corte?

