Magna Concursos
2173706 Ano: 2021
Disciplina: Medicina
Banca: VUNESP
Orgão: EsFCEx

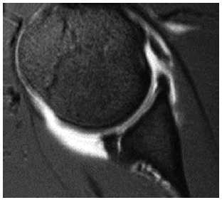
Analise a imagem a seguir e assinale a alternativa que apresenta a lesão observada e o mecanismo mais provável.

Enunciado 2173706-1

 

Provas

Questão presente nas seguintes provas

CFO-SSau - Médico/Radiologia

60 Questões