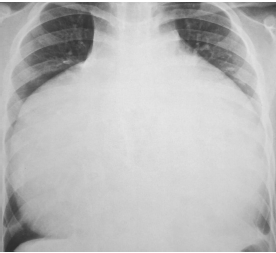
Um escolar de 10 anos tem história de cansaço aos esforços, que vem piorando progressivamente, e palpitações. Ao exame físico há hepatomegalia importante, turgência jugular e saturação de O2 de 89%. A ausculta cardíaca revela um sopro sistólico em borda paraesternal esquerda baixa. O eletrocardiograma mostra ondas P amplas e intervalo PR prolongado.
A radiografia de tórax está reproduzida abaixo.

Assinale a opção que mostra o diagnóstico mais provável.