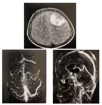
Mulher, professora, 37 anos apresentou crise epiléptica
generalizada em seu trabalho, sendo levada de imediato ao
atendimento médico de emergência. Na admissão, após o
período pós-ictal, paciente retorna consciência, mas queixandose de cefaleia holocraniana intensa. Em investigação, realizou
os seguintes exames:
Ressonância Magnética do Crânio – T2 Flair e Angioressonância Magnética venosa do Crânio
Assinale a alternativa CORRETA que representa o diagnóstico para o caso acima e seu tratamento correspondente, respectivamente.
Ressonância Magnética do Crânio – T2 Flair e Angioressonância Magnética venosa do Crânio
Assinale a alternativa CORRETA que representa o diagnóstico para o caso acima e seu tratamento correspondente, respectivamente.