Magna Concursos
4050907 Ano: 2026
Disciplina: Odontologia
Banca: FEPESE
Orgão: Polícia Científica-SC
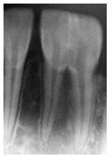
Em uma radiografia periapical de um indivíduo desconhecido, solicitada para fins de identificação odontolegal, observa-se um dente incisivo inferior com duas raízes separadas e com canais radiculares independentes; contudo, apresentando duas coroas fundidas parcialmente, ilustradas na imagem abaixo.

Enunciado 4523022-1

Com base nesses achados, assinale a alternativa que descreve corretamente as alterações dentárias observadas.
 

Provas

Questão presente nas seguintes provas

Perito Oficial Criminal - Odontologia

80 Questões