Magna Concursos
1007459 Ano: 2019
Disciplina: Medicina
Banca: UFT
Orgão: UFT
Provas:
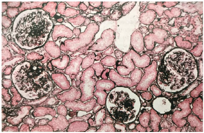
enunciado 1007459-1 Disponível em: Nefrologia Clínica, 2016, quinta edição, Capítulo 18, página 221, Figura 18-1.
AVS, 28 anos, masculino, deu entrada no PS com queixa de urina com espuma, inchaço nas pernas e cefaléia. Ao exame, apresenta-se lúcido e orientado, eupneico, hidratado, normocorado, afebril, anictérico, acianótico. PA: 157/93 mmHg. Ausculta cardíaca, sem alterações, ausculta respiratória revela murmúrio vesicular universalmente audível, mas com estertores crepitantes em base direita. Abdome inocente. Membros inferiores com edema de ++/4+, panturrilhas livres. Os exames laboratoriais demonstraram-se com os seguintes valores: Hb: 13, Ht: 38, Leucócitos: 9200, Plaq.: 158000, Glicose: 98, Na+: 136, K+: 3,8, Cálcio: 9,2; Fósforo: 3,8; Albumina: 3,3; Colesterol Total: 198, TGO: 16, TGP: 20, EAS com hematúria leve e proteína >30mg/dL, Proteinúria de 24hs: 2,8g/24hs. USG de Rins e Vias Urinárias sem alterações. Biópsia renal, conforme imagem acima. De acordo com o caso clínico e a imagem expostos, assinale a CORRETA sobre o provável diagnóstico.
 

Provas

Questão presente nas seguintes provas