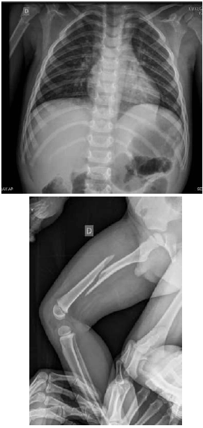
Paciente do sexo masculino, de 3 anos de idade, dá entrada no pronto-socorro infantil acompanhado pela sua mãe e pelo seu padrasto, com queixa de dor na perna por ter caído da cama há duas horas, de uma altura de cerca de 40 cm. Relatam que a queda não foi presenciada. Mãe nega qualquer antecedente prévio ou outras idas ao pronto-socorro. Em relação a outros sintomas, relataram que o paciente está com quadro de infecção de vias aéreas superiores há 2 dias, sem febre. Ao exame, o paciente revela-se choroso, não colaborativo, com dificuldade para realizar o exame físico. Foram realizadas as radiografias apresentadas a seguir.

Com base nesse caso clínico, assinale a alternativa correta.