O seguinte caso clínico refere-se à questão.
Paciente feminina de 51 anos, portadora de doença psiquiátrica com história de tratamento irregular e uso excessivo de analgésicos e barbitúricos, internou-se por queixa de dor abdominal e aumento da frequência evacuatória (diarreia). Ao exame físico, apresentava abdome distendido, sem ruídos hidroaéreos (RHA). Sinais vitais estáveis e, no toque retal, evidenciou-se fezes pastosas.
Os exames laboratoriais mostraram leucocitose com desvio nuclear à esquerda até bastonetose.
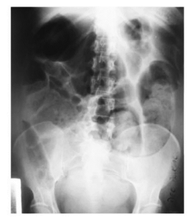
Foi realizado um raio-X de abdome agudo (figura 01) como exame de imagem, que mostrou distensão sem sinais de obstrução mecânica; grande dilatação de ceco e transverso. Além disso, não é visível obstrução mecânica (padrão íleo adinâmico).

FIGURA 1 - Raio-X de abdômen AP em decúbito dorsal