Considere a imagem a seguir:

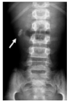
A radiografia simples de abdome acima evidencia imagens radiopacas no hipocôndrio direito caracterizando:

A radiografia simples de abdome acima evidencia imagens radiopacas no hipocôndrio direito caracterizando: