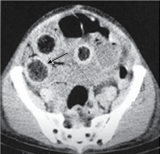
Paciente do sexo feminino, 18 anos, procura o serviço de Pronto-Socorro com relato de constipação intestinal há 15 dias, sem comorbidades conhecidas até o momento. Após lavagem intestinal com clister glicerinado, foi avaliada com melhora e alta no mesmo dia. Após 24 horas, evoluiu com vômitos fecaloides, distensão abdominal e febre não aferida. Observada alopécia traumática em região occipital. Após estabilização hemodinâmica, foi realizada tomografia computadorizada de abdome, evidenciando sinais representados em imagem abaixo.

Quais os diagnósticos sindrômico e etiológico mais prováveis?