Magna Concursos
Questões
Planos
Entrar
Entrar
Criar Conta
Respondida
2936477
Ano:
2023
Disciplina:
Medicina
Banca:
Consulplan
Orgão:
SES-PA
Provas:
Médico - Patologia
Provas
×
Hematologia
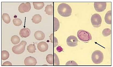
Mulher, 32 anos, em atual avaliação de anemia macrocítica, realizou o seguinte esfregaço periférico:
Qual é a principal alteração encontrada?
A
Anel de
Cabot
.
B
Célula de
Fagot
.
C
Corpos de
Heinz
.
D
Corpúsculos de
Howell-Jolly.
E
Corpúsculos de
Pappenheimer
.
Resolver
Comentários
0
×
Cadernos
×
Flashcards
×
Estatísticas
×
Reportar um erro
×
Provas
Questão presente nas seguintes provas
Médico - Patologia
50 Questões
Resolver Prova
Publicar
Responder
Qual o problema da questão?
Selecione uma opção
Questão Desatualizada
Questão Repetida
Gabarito Errado
Outros Motivos
Mensagem
Enviar
Acessar
Criar Conta
Acesse sua Conta
Google
Facebook
Esqueci minha senha
Acessar
Ainda não tem conta?
Crie uma
!
Crie uma Conta
Criar Conta
Olá, para continuar, precisamos criar uma conta!
É
rápido
e
grátis
.
Google
Facebook
Concordo com os
Termos de Uso
Criar
Já tem uma conta?
Acesse aqui