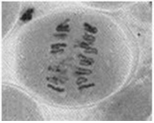
Para a realização de uma aula prática de genética, o professor da disciplina solicita que o técnico do laboratório separe algumas lâminas que tenham uma figura de mitose específica. A imagem, a seguir, é a reprodução da foto enviada pelo professor ao técnico, solicitando que as lâminas separadas tenham imagens semelhantes à que foi enviada. Que fase da mitose é representada na figura e a qual dos microfilamentos celulares se prendem os cromossomos observados nessa imagem, respectivamente?
