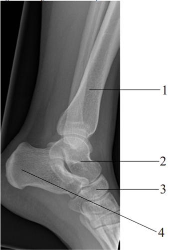
Em relação à anatomia radiográfica do tornozelo, marque a alternativa que corresponda aos pontos indicados na radiografia em perfil
do tornozelo.
Figura 01 -Imagem do tornozelo em perfil
Fonte: NETO et al.(2022, p.67) / Francisco Abaeté Neto; Leonardo M. Lustosa; João Erivan Façanha Barreto. Atlas radiográfico ilustrado: ossos e articulações [recurso eletrônico]. Fortaleza: Editora Caminhar, 2022. Pag. 67.
Figura 01 -Imagem do tornozelo em perfil
Fonte: NETO et al.(2022, p.67) / Francisco Abaeté Neto; Leonardo M. Lustosa; João Erivan Façanha Barreto. Atlas radiográfico ilustrado: ossos e articulações [recurso eletrônico]. Fortaleza: Editora Caminhar, 2022. Pag. 67.