Magna Concursos
3533027 Ano: 2024
Disciplina: Radiologia
Banca: FUNCERN
Orgão: Pref. Guamaré-RN
Provas:

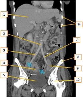
Tomografia computadorizada é um procedimento não invasivo de diagnóstico por imagem que combina o uso de raio-x com computadores especialmente adaptados. É utilizado para criar imagens detalhadas dos mais variados tecidos do corpo humano. O procedimento é realizado através da emissão de raios X rotacionada ao redor do corpo, que, por sua vez e de forma variada, a depender de cada tecido, atenua o feixe de raios-X, que são absorvidos por detectores de radiação, que enviam então os dados para um sistema computacional. Esse sistemconsegue transformar a radiação, através de seus detectores, em um sinal digital no qual se tem a imagem formada muitas vezes mais fidedigna que as imagens radiográficas. Entre os vários assuntos que devem ser conhecidos, a anatomia é fundamental.

Enunciado 4113212-1

Disponível em: https://protocolos-de-tc.webnode.page/abdome/. Acesso em 12/11//2023(Adaptado)

Com base no texto acima e de acordo com a região anatômica apresentada, os números que aparecem na imagem estão corretamente descritos em

 

Provas

Questão presente nas seguintes provas

Técnico de Radiologia

50 Questões