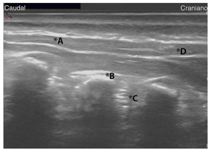
A figura a seguir representa a visão ultrassonográfica do plano do músculo eretor da espinha, na qual há indicação de diferentes pontos, representados pelas letras A, B, C e D.

O ponto correto de administração do anestésico local para realização do bloqueio do plano do eretor da espinha (ESP) está representado, na imagem, pela letra: