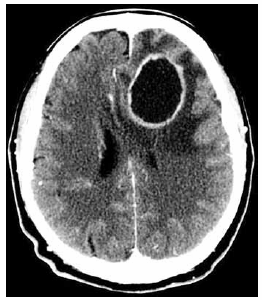
Homem de 43 anos de idade apresenta quadro de tosse produtiva e secreção nasal purulenta há 1 mês. Há 2 semanas evolui com febre, cefaleia, queda do estado geral, sonolência e alteração do comportamento. Ao exame físico: PA: 128 x 82 mmHg, FC: 115 bpm, FR: 22 ipm, SatO2: 95% e T: 38,5 ºC. A tomografia realizada é mostrada a seguir.

O tratamento inicial recomendado é