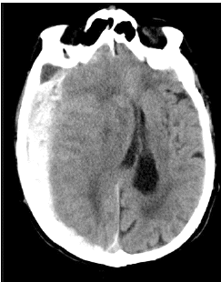
Paciente, sexo feminino, 82 anos, sofreu queda da própria altura após tropeçar no tapete da sala de sua casa. Após a queda, familiares notaram que a paciente apresentava lentificação psicomotora, sonolência excessiva e confusão mental, sendo, então, levada ao hospital local para atendimento médico. Na admissão hospitalar realizou tomografia computadorizada de crânio que evidenciou o seguinte resultado:

Qual o achado da tomografia de crânio realizada?