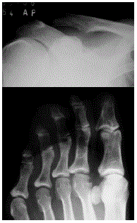
Paciente de 45 anos, feminina, com fraqueza muscular, perda de apetite, fadiga, formigamentos, constipação e dor abdominal. Relata estar em uma fase difícil da vida e muito estressada, o que está promovendo dificuldade de concentração e confusão mental.

Baseado na imagem disponibilizada, qual o seu diagnóstico?