Magna Concursos

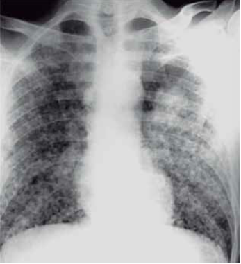
Homem de 59 anos, tabagista de longa data, desempregado e sem exposição ocupacional, é internado com quadro de tosse e dispneia progressiva. Ele não está bem há algum tempo e recebeu vários cursos de antibióticos para “bronquite”. Nos últimos 4 meses não teve acompanhamento médico, e perdeu cerca de 12% do peso corporal. Ao exame físico: queda do estado geral; afebril; roncos e crepitações difusas (tipo velcro). A gasometria arterial mostra PO2 de 68 mmHg com alcalose respiratória compensada leve. O escarro é negativo para tuberculose. A radiografia de tórax é mostrada a seguir.

Enunciado 3518931-1

(Arquivo pessoal; imagem usada com autorização)

Considerando a principal hipótese diagnóstica, constitui um achado que, mais provavelmente, é encontrado

 

Provas

Questão presente nas seguintes provas

Médico - Endocrinologia

50 Questões

Médico - Geral

50 Questões

Médico - Homeopatia

50 Questões

Médico - Oftalmologia

50 Questões

Médico - Reumatologia

50 Questões