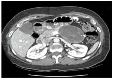
Mulher de 52 anos procura atendimento médico com queixa de dor abdominal há 10 meses, de fraca intensidade, sem relação com alimentação e ausência de alteração do hábito intestinal. Na investigação de seu quadro, solicitou-se tomografia abdominal, demonstrada a seguir (lesão apontada pela seta). Realizada punção aspirativa com agulha fina, cujo resultado demonstrou aspirado rico em mucina, níveis elevados de CEA e estroma similar ao do ovário.

O diagnóstico é de