Magna Concursos
2975951 Ano: 2023
Disciplina: Medicina
Banca: VUNESP
Orgão: Pref. Itapevi-SP

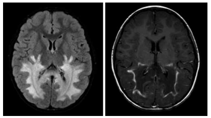
Menino de 6 anos de idade apresenta quadro progressivo de comprometimento cognitivo e espasticidade. As imagens por ressonância magnética do crânio FLAIR e T1 com contraste, respectivamente, demonstram as alterações a seguir.

Enunciado 3328577-1

O diagnóstico mais provável é:

 

Provas

Questão presente nas seguintes provas