Magna Concursos
2457369 Ano: 2013
Disciplina: Biologia
Banca: FUMARC
Orgão: CBM-MG
Provas:

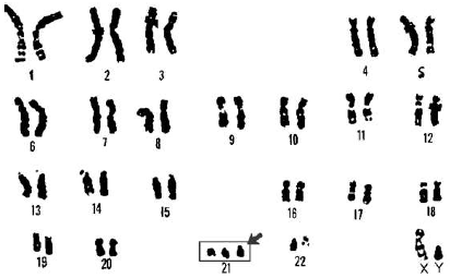
Analise o cariótipo a seguir:

Enunciado 2832242-1

Pela análise, conclui-se que se trata de

 

Provas

Questão presente nas seguintes provas

Oficial Bombeiro Militar

55 Questões