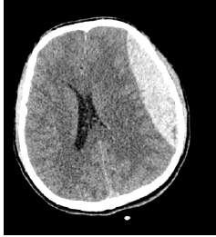
Paciente, sexo masculino, 23 anos, admitido em pronto-socorro do hospital de sua cidade após sofrer acidente automobilístico há cerca de 40 minutos. Segundo testemunhas do local, o paciente ficou desacordado por alguns minutos e, desde o momento que acordou, queixa-se de dor de cabeça intensa e constante. Realizada tomografia computadorizada de crânio que evidenciou o seguinte resultado:

Qual o achado da tomografia de crânio realizada?