Magna Concursos
3100303 Ano: 2024
Disciplina: Medicina
Banca: IBADE
Orgão: Pref. Recife-PE

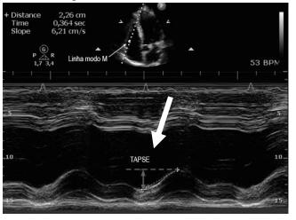
Observe a imagem abaixo:

Enunciado 3419707-1

A seta na imagem indica TAPSE que consiste:

 

Provas

Questão presente nas seguintes provas

Médico - Imaginologia Pediátrica

50 Questões