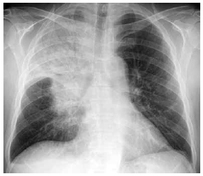
Paciente é atendido com quadro de febre, dispneia, tosse e expectoração amarelada há 5 dias. Não há antecedente mórbido relevante. Ao exame físico: PA: 88 x 58 mmHg, FC: 132 bpm, FR: 46 ipm, T: 38,8 ºC e SatO2: 72%. Eletrólitos e função renal: normais. A radiografia realizada é mostrada a seguir.

Em relação à insuficiência respiratória aguda, a conduta imediata recomendada é